-
A New Direction in Autism Research: Google Cloud

Autism is everywhere and it is great! I’m not referring to the recent CDC estimate that 1 in 68 children in the U. S. are diagnosed with the disorder. Instead, I’m talking about its presence in the news. Most recently, I’ve read that the Vatican is holding an inaugural conference on autism, “The Person…
-
What is color (in vision)?

Roses are red, Violets are blue, And you probably think That the sky is blue too. Color, however, exists only in the mind: Color is our experience that maps onto the physical luminance properties of visible light and visible-light reflectance properties of objects. Psychologists call this color perception, to recognize that color is more a property…
-
Communicating the Value of Research: A Two-Way Street

Seven months ago I found myself seated across the table from a dear friend at a small restaurant in Eugene, Oregon, mere weeks from the start of my graduate career. Over dinner and a few drinks, we got to talking about the enormity of this undertaking, exploring all of the parts associated with finally going…
-
There is a green% chance you will read this post.
Recently The Onion posted this tongue-in-cheek article regarding synesthesia. For those of you who may not know, synesthesia is a neurological phenomenon in which people experience cross-sensory perceptions. Fellow PIA blogger Emma Geller has written a fabulous primer to the world of synesthesia, located here, but the quick-and-dirty version is that synesthetes have associations between senses…
-
Graduate Program Interviews: Cognitive Psychology

So you applied to PhD programs in Psychology in the fall, with some kind of interest or focus in cognitive psychology – memory, attention, perception, thinking, learning, cognitive neuroscience, computational modeling of cognition, etc. Now interviews are coming up. Want to get the inside scoop on the interviewing/decision process? What questions to ask, what to…
-
Everything You Need to Know about RDoC: Answers to 5 Commonly Asked Questions

The Diagnostic and Statistical Manual of Mental Disorders (DSM), a frequently referenced manual of clinical diagnosis published by the American Psychiatric Association (APA), has been called the “Bible” for the field of clinical psychology. Consistent with its prominent role in diagnosis and treatment considerations, research on mental health has traditionally focused on the DSM’s classification…
-
The Truth about Domestic Violence: Literature Review
As more and more clients are entering therapy with concerns related to abuse, such as domestic violence incidents, it seems prudent to review how these issues might play a role in mental health and treatment. The facts on domestic violence are startling. Estimates by the National Coalition Against Domestic Violence, Bureau of Justice, and Centers…
-
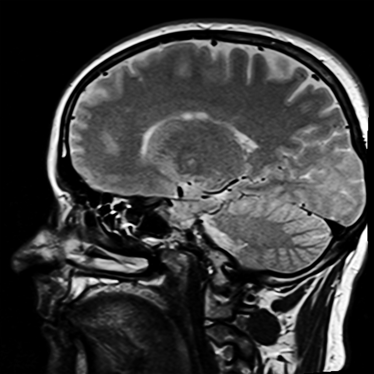
Former Israeli Prime Minister’s Significant Brain Activity – How Do We Know?

Israeli scientists and UCLA’s Dr. Martin Monti recently found that former Prime Minister Ariel Sharon demonstrates significant brain activity. Seven years ago Sharon suffered two strokes. The second stroke caused him to lose most of his consciousness. Sharon is in a minimally conscious state, a little more aware than a coma or a persistent vegetative…
